Applicability of the CT Radiomics of Skeletal Muscle and Machine Learning for the Detection of Sarcopenia and Prognostic Assessment of Disease Progression in Patients with Gastric and Esophageal Tumors

Daniel Vogele

Universitäts Klinikum Ulm

Teresa Müller

Universitäts Klinikum Ulm

Daniel Wolf

Universitäts Klinikum Ulm

Sabitha Manoj

Universitäts Klinikum Ulm

Michael Götz

Ulm University

Meinrad Beer

Universitäts Klinikum Ulm

Diagnostics 2024

Abstract

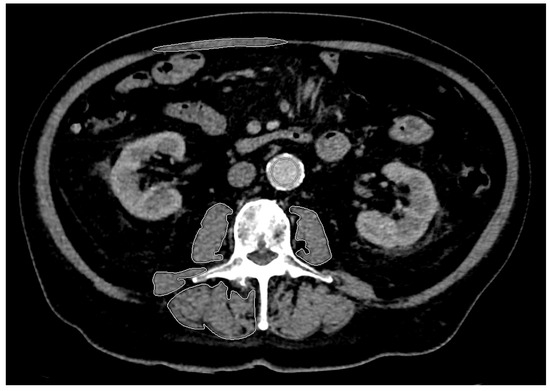
Purpose: Sarcopenia is considered a negative prognostic factor in patients with malignant tumors. Among other diagnostic options, computed tomography (CT), which is repeatedly performed on tumor patients, can be of further benefit. The present study aims to establish a framework for classifying the impact of sarcopenia on the prognosis of patients diagnosed with esophageal or gastric cancer. Additionally, it explores the significance of CT radiomics in both diagnostic and prognostic methodologies. Materials and Methods: CT scans of 83 patients with esophageal or gastric cancer taken at the time of diagnosis and during a follow-up period of one year were evaluated retrospectively. A total of 330 CT scans were analyzed. Seventy three of these patients received operative tumor resection after neoadjuvant chemotherapy, and 74% of the patients were male. The mean age was 64 years (31–83 years). Three time points (t) were defined as a basis for the statistical analysis in order to structure the course of the disease: t1 = initial diagnosis, t2 = following (neoadjuvant) chemotherapy and t3 = end of the first year after surgery in the “surgery” group or end of the first year after chemotherapy. Sarcopenia was determined using the psoas muscle index (PMI). The additional analysis included the analysis of selected radiomic features of the psoas major, quadratus lumborum, and erector spinae muscles at the L3 level. Disease progression was monitored according to the response evaluation criteria in solid tumors (RECIST 1.1). CT scans and radiomics were used to assess the likelihood of tumor progression and their correlation to sarcopenia. For machine learning, the established algorithms decision tree (DT), K-nearest neighbor (KNN), and random forest (RF) were applied. To evaluate the performance of each model, a 10-fold cross-validation as well as a calculation of Accuracy and Area Under the Curve (AUC) was used. Results: During the observation period of the study, there was a significant decrease in PMI. This was most evident in patients with surgical therapy in the comparison between diagnosis and after both neoadjuvant therapy and surgery (each p < 0.001). Tumor progression (PD) was not observed significantly more often in the patients with sarcopenia compared to those without sarcopenia at any time point (p = 0.277 to p = 0.465). On average, PD occurred after 271.69 ± 104.20 days. The time from initial diagnosis to PD in patients “with sarcopenia” was not significantly shorter than in patients “without sarcopenia” at any of the time points (p = 0.521 to p = 0.817). The CT radiomics of skeletal muscle could predict both sarcopenia and tumor progression, with the best results for the psoas major muscle using the RF algorithm. For the detection of sarcopenia, the Accuracy was 0.90 ± 0.03 and AUC was 0.96 ± 0.02. For the prediction of PD, the Accuracy was 0.88 ± 0.04 and the AUC was 0.93 ± 0.04. Conclusions: In the present study, the CT radiomics of skeletal muscle together with machine learning correlated with the presence of sarcopenia, and this can additionally assist in predicting disease progression. These features can be classified as promising alternatives to conventional methods, with great potential for further research and future clinical application. However, when sarcopenia was diagnosed with PMI, no significant correlation between sarcopenia and PD could be observed.

BibTeX

@article{vogele2024applicability,
	title={Applicability of the CT Radiomics of Skeletal Muscle and Machine Learning for the Detection of Sarcopenia and Prognostic Assessment of Disease Progression in Patients with Gastric and Esophageal Tumors},
	author={Vogele, Daniel and M{\"a}ller, Teresa and Wolf, Daniel and Manoj, Sabitha and G{\"o}tz, Michael and Beer, Meinrad},
	year={2024},
	journal={Diagnostics},
	doi={https://doi.org/10.3390/diagnostics14020198}
}